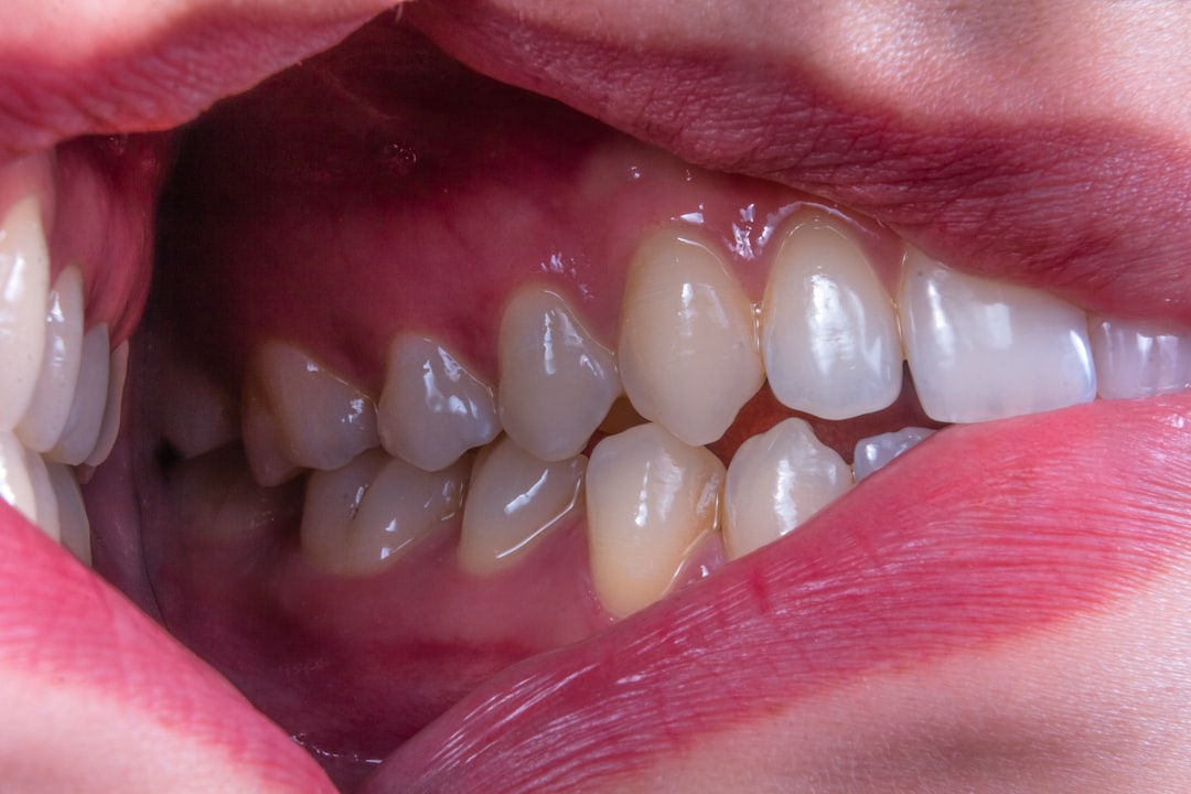
치은염 치료 약과 효과적인 관리법 소개
치은염은 많은 사람들이 겪는 흔한 구강 질환으로, 적절한 치료 약과 관리법이 필요합니다. 이 글에서는 치은염을 효과적으로 치료하고 관리하는 방법에 대해 설명합니다.
치은염 치료 약의 종류와 효과
치은염 치료 약은 증상 완화와 회복에 큰 도움을 줍니다. 치은염 치료 약에는 항균제, 소염제, 그리고 치석 제거를 위한 전용 약물이 포함됩니다. 일반적으로 사용되는 항균제는 염증을 줄이고, 세균의 증식을 억제하는 역할을 합니다. 특히, 민트 같은 허브가 함유된 제품들은 자연스러운 성분으로 인기를 끌고 있습니다. 이 외에도 약국에서 쉽게 구할 수 있는 구강 세척제와 스프레이가 있습니다. 잇몸이 붓고 출혈이 있을 때 이러한 제품들을 사용하면 빠르게 증상을 개선할 수 있습니다.

세균의 감염이 증가하면 증상도 심해지기 마련입니다. 그래서 치은염 치료 약 사용 시, 지켜야 할 중요한 점이 하나 있습니다. 바로 의사의 지시에 따라 사용해야 한다는 것입니다. 자가 진단이나 자가 치료는 대개 예상치 못한 부작용을 초래할 수 있습니다. 따라서, 약을 복용하기 전에는 반드시 전문가와 상담하는 것이 바람직합니다. 무엇보다도, 잇몸 관리에서의 전문가의 조언은 큰 힘이 됩니다. 그럼에도 불구하고 병원 방문이 두렵다면, 당장 가까운 약국에 가서 상담해보는 것도 좋은 방법입니다.
치은염의 치료법 중 하나는 구강 위생을 철저히 지키는 것입니다. 이 과정에서 도움이 되는 치은염 치료 약도 함께 고려해야 합니다. 매일 양치질과 치실 사용은 잇몸 건강에 매우 효과적입니다. 또한, 자극이 적은 치약이나 세정제를 선택하는 것도 도움이 됩니다. 이와 함께, 비타민 C 섭취가 좋은 영향을 미친다는 연구 결과도 있기에, 항상 신선한 과일과 채소를 포함한 식단을 유지해야 합니다. 이런 작은 노력이 모여 강한 잇몸을 만들어갈 수 있습니다.
또한, 치은염 치료가 끝났다고 해서 안심할 수 있는 것은 아닙니다. 재발 방지를 위해서는 꾸준한 관리가 필수적입니다. 의사와 정기적으로 검진을 받고, 필요하다면 치은염 치료 약을 계속 사용하는 것이 좋습니다. 잇몸 상태가 나빠지는 것을 방지하기 위해 정기적인 스케일링도 추천합니다. 이 모든 것들이 잘 결합된다면 건강한 치아를 유지할 수 있을 것입니다.
치은염 관리법
치은염 관리는 예방과 치료의 이중적 역할을 합니다. 첫 번째로, 개인 위생이 가장 중요합니다. 이는 소중한 치아를 지킬 수 있는 기본적인 방법입니다. 이를 위해 매일 아침과 저녁에 최소 2분 이상 양치질을 해야 하고, 잇몸에 자극이 적은 부드러운 칫솔을 사용하는 것이 좋습니다. 무턱대고 세게 닦기보다는 부드럽게 마사지하듯이 닦는 것이 오히려 효과적이랍니다.
뿐만 아니라, 치은염 치료 약을 사용할 때는 반드시 그 사용법을 숙지해야 합니다. 이 약물들은 잇몸의 염증 및 감염을 줄이는 데 도움을 주지만, 과용하면 오히려 안 좋은 결과를 초래할 수 있습니다. 이를 예방하기 위해 치료 약의 용량과 사용 주기를 정확히 지켜야 하며, 주기적인 검진을 통해 잇몸 건강을 체크하는 것이 필요합니다. 말을 잘 들려면, 잇몸과의 신뢰 관계가 필요한 법이죠!
식생활 또한 치은염 관리에 큰 영향을 미칩니다. 특히 당분이 많은 음식은 세균의 먹이이며, 잇몸 건강을 해치는 주범입니다. 대신 비타민과 미네랄이 풍부한 음식을 챙겨 먹으면 잇몸 건강을 유지할 수 있습니다. 신선한 과일 또는 채소를 접시에 올리고, 매운 음식이나 자극적인 음료는 최대한 피하는 것이 좋습니다. 맛있고 건강한 식단이 잇몸에 긍정적인 영향을 끼칠 것입니다.
마지막으로, 스트레스 관리도 잊지 말아야 합니다. 스트레스는 면역 체계를 약화시키고, 자연스럽게 염증이 발생하기 쉬운 몸을 만들죠. 따라서 취미를 가지고, 충분한 휴식을 취하거나 요가와 같은 활동을 통해 심신의 안정을 찾는 것이 중요합니다. 스트레스를 줄이는 작은 습관도 건강한 잇몸을 지킬 수 있는 길입니다!

표: 치은염 치료 약의 주요 성분과 효과
| 약물 | 주요 성분 | 효과 |
|---|---|---|
| 항균제 | 클린다마이신 | 세균 제거, 염증 완화 |
| 소염제 | 이부프로펜 | 통증 감소, 염증 완화 |
| 구강 세척제 | 세틸피리디늄 염화물 | 세균 제거, 구취 방지 |
결론
치은염을 예방하고 효과적으로 관리하기 위해서는 건강한 생활습관과 정기적인 관리가 필수입니다. 치은염 치료 약의 선택과 사용 역시 중요한 요소입니다. 모든 과정이 조화를 이루어야 가능한 강한 잇몸을 만들 수 있을 것입니다. 작은 변화들이 모여 큰 결과를 가져왔던 경험, 여러분과 함께 나누고 싶어요!
함께 읽어볼 만한 글입니다
상속인 금융거래조회 서비스 쉽게 이용하기
상속인 금융거래조회 서비스는 상속인들이 은행 거래내역 등의 정보를 쉽게 조회할 수 있도록 도와주는 유용한 서비스입니다. 이번 글에서는 신청 방법과 이용 방법을 자세히 살펴보겠습니다.
forme.ezylife.co.kr
스테이블코인 대장주, 투자 전략과 미래 전망
스테이블코인 대장주에 대한 투자 전략과 미래 전망을 탐구해보며, 스테이블코인 국내 대장주와 원화 스테이블코인 대장주를 통해 우리의 투자 방향을 모색해보겠습니다.스테이블코인 대장주
forme.ezylife.co.kr
중소기업확인서 발급 및 갱신 방법 총정리
중소기업확인서 발급은 중소기업과 소상공인이 직면할 수 있는 여러 문제를 해결하기 위한 필수적인 절차입니다. 이번 글에서는 발급 방법, 기관, 신청 절차 등을 자세히 알아보겠습니다.중소
forme.ezylife.co.kr
자주 묻는 질문(FAQ)
1. 치은염 치료 약은 어떻게 사용해야 하나요?
전문의의 처방에 따라 약을 복용해야 하며, 사용법을 반드시 따라야 합니다.
2. 치은염이 재발하지 않으려면 어떻게 해야 하나요?
정기적인 치과 검진과 함께 올바른 구강 위생을 실천하는 것이 중요합니다.
3. 어떤 식단이 치은염 예방에 도움이 되나요?
비타민과 미네랄이 풍부한 과일 및 채소를 포함한 건강한 식단이 좋으며, 당분은 최대한 줄이는 것이 바람직합니다.
댓글